Endocrine System
81
Adrenal Gland Pathology
Histopathology Atlas
Twitter
Facebook
LinkedIn
Home Page
Introduction
---
General Pathology
1
Techniques Used in Pathology
2
Intracellular Accumulations
3
Extracellular Accumulations
4
Cellular Injury
5
Ischemia and Necrosis
6
Congestion
7
Amyloidosis
8
Repair Mechanisms
9
Erosion
Inflamation
10
Acute inflammation
11
Chronic inflammation
12
Granulamatous inflammation
Infectious Diseases
13
Viruses
14
Bacteria
15
Fungi
16
Parasites
Neoplasia, Tumor Pathology Basics
17
Benign Tumors
18
Hamartoma
19
Heterotopia
20
Metaplasia
21
Carcinogenesis
22
The properties of Malignant Tumors
23
Metastasis
24
Tumor Spread to Other Organs
Prognostic Morphologic Features of Neoplasms
25
Venous Invasion
26
Extramural Venous Invaasion
Hematopathology
27
Hodgkin Lymphoma
Gastrointestinal System
28
Gastrointestinal Sistem
29
Esophagus
30
Stomach
31
Gastritis
32
Duodenum
33
Colon
34
Crohn’s Disease
Liver Pathology
35
Liver Transplantation
36
Benign Liver Tumors
37
Malignant Liver Tumors
Pancreatobiliary system
38
Gallbladder
39
Ampulla of Vater
Lung
40
Neuroendocrine
Mezotel
41
Abdomen
Gynecopathology
42
Gynecopathology
43
Genital System
44
Cervix
45
Endometrium
46
Endometriosis
Uropathology
47
Uropathology
48
Kidney Tumors / Renal Tumors
49
Prostate
Endocrine System
50
Pituitary Adenoma
Breast
51
Breast Tumors
Head and Neck
52
Nasopharynx
53
Ear
54
Salivary Gland
Central Nervous System
55
Glioma
56
Meningioma
57
Vascular Lesions
Bone
58
Bone Tumors
Soft Tissue
59
Adipose Tissue
Pediatric and Perinatal
60
Placenta
Cytopathology
61
BOS.html
Special Collections
62
GBDAtlas
63
Hacettepe Case of Month
64
BSAtlas
65
ICEtlas
66
Similar Websites
References
Neoplasia, Tumor Pathology Basics
17
Benign Tumors
18
Hamartoma
19
Heterotopia
20
Metaplasia
21
Carcinogenesis
22
The properties of Malignant Tumors
23
Metastasis
24
Tumor Spread to Other Organs
75
Tumor Heterogeneity
Cardiovascular System
76
Blood Vessels
77
Heart
5
Ischemia and Necrosis
6
Congestion
Endocrine System
50
Pituitary Adenoma
81
Adrenal Gland Pathology
Appendices
A
Authors and Contributors
B
Contributions are welcome
C
Comments are welcome
D
Augmented Reality
Endocrine System
81
Adrenal Gland Pathology
81
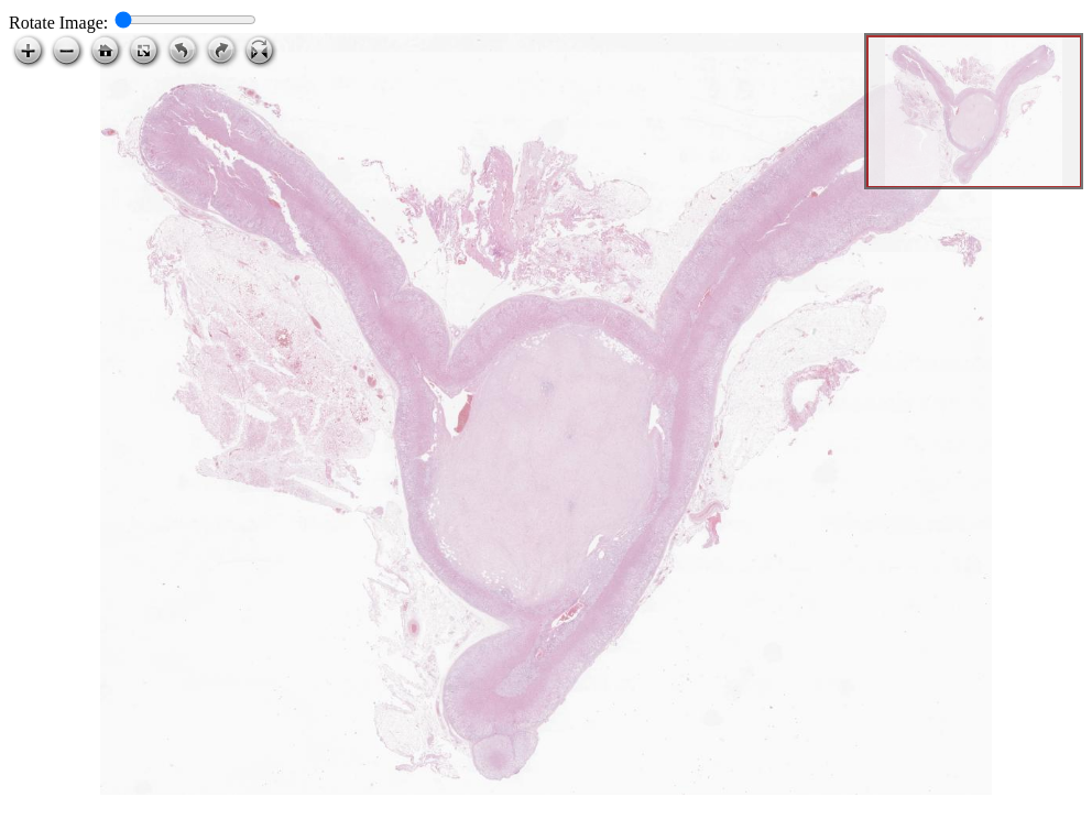
Ganglioneuroma in adrenal gland
WSI - Link
WSI
Diagnosis
ganglioneuroma in adrenal gland
Click for Full Screen WSI
See Microscopy with viewer:
Tip
Click for Diagnosis
ganglioneuroma in adrenal gland
77
Heart
A
Authors and Contributors